16027 Brookhurst St., Ste. K
Fountain Valley, CA 92708
ph: 714-775-0100
fax: 714-463-2205
drhungvu
In this section, some examples of "underbite" are presented. Laypersons often use the word underbite to describe this condition, but the correct terminology is negative overjet or anterior cross-bite.
Dentists diagnose this condition as either Class III malocclusion (or dental Class III, based on the relationship between the upper and lower 1st molars) or skeletal Class III (based on the relationship between the alveolar bones associated with the upper and lower anterior teeth) or both.
The problem could be either dental or skeletal or both. For moderate or severe Class III malocclusion (dental only), extraction of premolars is usually needed.
Some people use the term bicuspid for premolars, but it is incorrect because the term "bicuspid" signifies "two cusps."
The upper premolars have two cusps (one on buccal and one on lingual; the two are nearly of the same size). But the lower premolars may have three cusps (one on buccal and 2 on lingual).
For moderate or severe skeletal Class III, orthognathic surgery is often indicated as an option, but this treatment option is only appropriate for adults or young adults whose skeletal growth is essentially stopped.
Kids and Teenagers
Case 1: Started at 7.5 yr-old, male, Phase I
Fig. 1 View shows negative overjet (initial)
Fig. 2 View shows flat profile, deficient midface, lower lip more forward than upper lip (initial)
Fig. 3 View shows positive overjet (final)
Fig. 4 View shows convex profile, improved midface, upper lip more forward than lower lip (final)
Case 2: 8 yr-old female (without extraction)
Fig. 5 View showing ovejet (initial)
© Copyright 2007-2014, Vu Orthodontics. All rights reserved.
Fig. 6 View showing progress (6 months)
© Copyright 2007, Vu Orthodontics. All rights reserved.
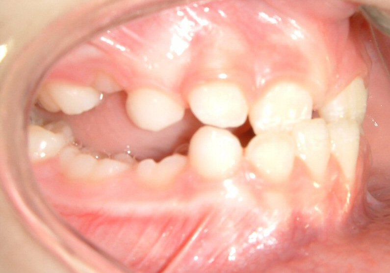
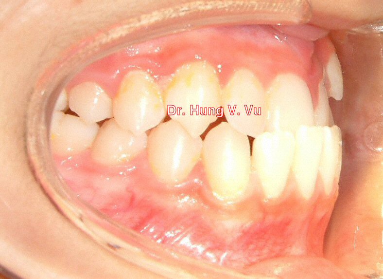
Case 3: 11 yr-old female (without extraction)

Fig. 7 View shows negative ovejet (initial)
© Copyright 2007, Vu Orthodontics. All rights reserved.
Fig. 8 View shows progress (2 months)
© Copyright 2007, Vu Orthodontics. All rights reserved.
Case 4: 12 yr-old female (without extraction)
Fig. 9 View shows negative overjet and ectopic UL canine (initial)
© Copyright 2007, Vu Orthodontics. All rights reserved.
Fig. 10 View shows progress (11 months)
© Copyright 2007, Vu Orthodontics. All rights reserved.
Adults
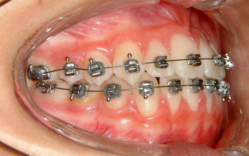
Case 5: 21 yr-old male
This case is skeletal Class III (moderate, with Class III malocclusion, with molars not shown); treated without orthognathic surgery and without extraction. Patient wanted no orthognathic surgery.
(a)
(b)
Fig. 11 View shows negative ovejet (initial): (a) Patient had braces elsewhere with treatment plan of orthognathic surgery, but he wanted no surgery; (b) After existing braces are removed.
Fig. 12 View shows progress (9 months): with Class III mechanics and no surgery
© Copyright 2007-2014, Vu Orthodontics. All rights reserved.
Serving communities: Orange County, Fountain Valley, Huntington Beach, Westminster, Garden Grove, Anaheim, Santa Ana, Buena Park, Tustin, Costa Mesa, Newport Beach, Irvine, Stanton, Cypress, Seal Beach, Los Alamitos, Fullerton, La Habra, Brea, Yorba Linda, Placentia, Villa Park, Lake Forest, Mission Viejo, Laguna Beach, Laguna Niguel, Laguna Hills; Los Angeles, Long Beach...
16027 Brookhurst St., Ste. K
Fountain Valley, CA 92708
ph: 714-775-0100
fax: 714-463-2205
drhungvu