16027 Brookhurst St., Ste. K
Fountain Valley, CA 92708
ph: 714-775-0100
fax: 714-463-2205
drhungvu
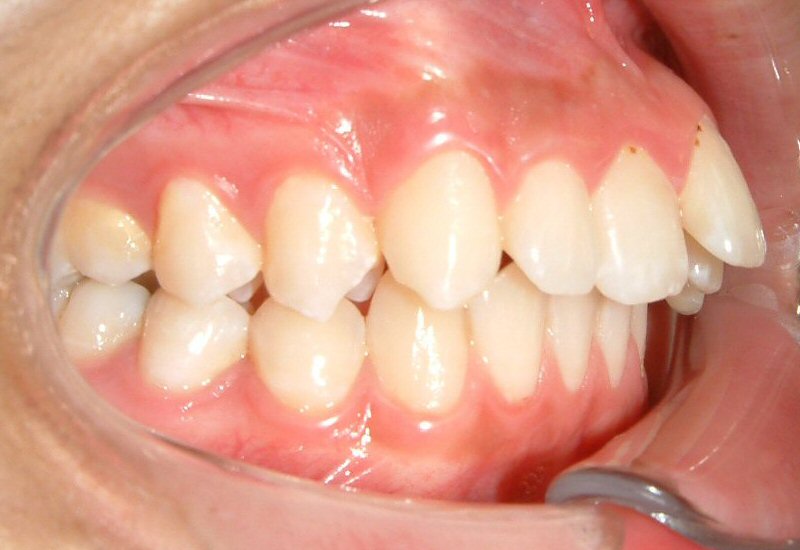
The following are some examples of Class II malocclusion (dental Class II) or skeletal Class II or both. Some people use the layperson term "overderbite" to describe this condition, but the correct term is actually excessive overjet.
Case 1: 14 yr-old male
For problems similar to this case, most orthodontists would require extraction of premolars. But this case demnonstrates that it is possible to treat without any extraction - by using TADS (temporary anchorage devices).
Fig. 1 View showing ovejet (initial)
© Copyright 2007-2014, Vu Orthodontics. All rights reserved.
Fig. 2 View showing progress (1 year), no extraction
© Copyright 2007-2014, Vu Orthodontics. All rights reserved.
© Copyright 2007-2014, Vu Orthodontics. All rights reserved.
Serving communities: Orange County, Fountain Valley, Huntington Beach, Westminster, Garden Grove, Anaheim, Santa Ana, Buena Park, Tustin, Costa Mesa, Newport Beach, Irvine, Stanton, Cypress, Seal Beach, Los Alamitos, Fullerton, La Habra, Brea, Yorba Linda, Placentia, Villa Park, Lake Forest, Mission Viejo, Laguna Beach, Laguna Niguel, Laguna Hills; Los Angeles, Long Beach...
16027 Brookhurst St., Ste. K
Fountain Valley, CA 92708
ph: 714-775-0100
fax: 714-463-2205
drhungvu