16027 Brookhurst St., Ste. K
Fountain Valley, CA 92708
ph: 714-775-0100
fax: 714-463-2205
drhungvu
Introduction
A natural tooth should be saved first, and a dental implant should be the last option.
Poor Implant Placement
A case of bad implant placement (which was done elsewhere) is shown in Fig. 1. In this case, the implant was placed not parallel to the adjacent roots. Its axis should be along the yellow line -- not the red one. It was also placed too deep. More importantly, the implant is of the wrong type. It is a tissue-level implant (of Straumann), so the top part of the implant should be above the bone level -- should not be below the bone level, as shown.

Fig. 1. Bad implant placement: the axis is supposed to follow the yellow line, not the red one.
Another case of poor implant placement (which was done elsewhere) is shown in Fig. 2. In this case, the implant (in the middle) caused a damage to the adjacent natural tooth.

Fig. 2. Another poor implant placement
Another case of bad implant placement (which was done elsewhere) is shown in Fig. 3 (photo) and Fig. 4 (cross-sections of the CBCT scan). In this case, the implant is almost completely out of the bone. The site is of the upper right second premolar (Tooth #4). Even if the dentist had placed the implant in a perfect position and orientation, the bone width (in buccal-palatal direction) would still have been too small for this implant (6.22 mm, measured at the implant-platform level). According to the patient, the dentist who placed three (3) implants on him. But two (2) fell out, and only one remains. The dentist took some radiograph(s), presumably, PA or BW or both, and then told the patient, "The bone looks good."
Fig. 3. Implant for Tooth #4 site is outside of the bone and protruding under the soft tissue (photo)

Fig. 4. Implant for Tooth #4 site is outside of the bone (CBCT scan, with buccal-palatal cross-section)
Good Implant Placement
The following are examples showing good implant placements (which were done by the author), using a fully-guided system.
Single Implants
In this case of a single implant, a fully-guided system is used. The implant is perfectly placed center, between the roots of the two natural teeth (Fig. 5). PA means periapival; BW means bitewing. The implant is placed such that its platform is about 0.5-1 mm apical from the alveolar crest.

(a)

(b)

(c)
Fig. 5. A good implant placement: (a) implant and healing abutment (PA view), (b) implant and healing abutment (BW view), and (c) implant, implant abutment, and implant crown (PA view, a month later)
Another example shows a good implant placement (which was done by the author, Fig. 6), using a fully-guided system.

(a)

(b)
Fig. 6. A good implant placement, showing implant and cover screw: (a) PA view, (b) BW view
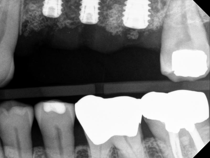
Multiple Implants
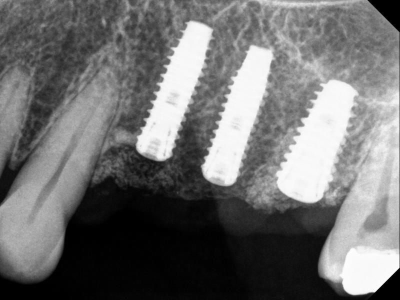
The following is an example of a multi-implant case, in which there is no room for error. Thus, a fully-guided system must be used for implant placement (Figs.7 & 8)

Fig. 7. A multi-implant case, fully guided (Sites #12, #13, and #14): planning

(a)

(b)
Fig. 8. A multi-implant case, using fully guided sytem, Sites #12, #13, and #14 -- implants and cover screws: (a) PA, and (b) BW
Note that for Site #14, the implant was tilted a bit to the mesial side (compared to the planning).
A Case that needs Free Gingival Graft (FGG)
For many patients, the posterior of the lower arch needs Free Gingival Graft (FGG) because of poor quality of keratinized mucosa. The case, infra, shows as an example.
Fig. 9. A broken 3-unit bridge (for the missing Tooth #30)
Fig. 10. Poor keratinized mucosa on the buccal side of the implant (with healing abutment)
Fig. 11. After the implant was buried (w/ a cap screw), ready for Free Gingival Graft (FGG), poor keratinized mucosa was apparent
Fig. 12. FGG was performed
Fig. 13. The donor site on the palate, for the FGG
Fig. 14. At the end, good keratinized mucosa is apparent (good seal/protection for the implant, after FGG)
© Copyright 2007-2014, Vu Orthodontics. All rights reserved.
Serving communities: Orange County, Fountain Valley, Huntington Beach, Westminster, Garden Grove, Anaheim, Santa Ana, Buena Park, Tustin, Costa Mesa, Newport Beach, Irvine, Stanton, Cypress, Seal Beach, Los Alamitos, Fullerton, La Habra, Brea, Yorba Linda, Placentia, Villa Park, Lake Forest, Mission Viejo, Laguna Beach, Laguna Niguel, Laguna Hills; Los Angeles, Long Beach...
16027 Brookhurst St., Ste. K
Fountain Valley, CA 92708
ph: 714-775-0100
fax: 714-463-2205
drhungvu